임플란트 주위염 치료 및 재수술 사례

23-02-23 더365치과




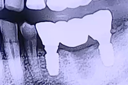
BEFORE
AFTER
연령/성별
치료 유형 임플란트재수술
치료 시작일
치료 완료일
주치의 멘트

타 병원에서 했던 임플란트에 통증을 느끼고 내원하셨던 환자분입니다.

검사를 해본 결과 왼쪽 아래 어금니에 진행한 임플란트 앞의 어금니 하나가 머리가 깨져 뿌리만 남아있었고, 해당 부분에 식립된 임플란트 2개는 임플란트 주위염이 진행된 상태로 잇몸이 많이 붓고 약해져 있었습니다.

임플란트 주위염 발생의 이유는 해당 임플란트가 똑바르지 않고 기울여 심어진 탓으로 보였는데요. 임플란트를 심을 때는 주변 치아들과 같이 똑바로 심어야 한다는 원칙이 지켜지지 않은 것입니다.

이렇게 비뚤게 식립된 임플란트는 환자분들께서 열심히 관리를 해 주어도 그 사이에 생긴 틈새 등의 이유로 원활하게 관리가 이루어지기 어려워 주위염을 불러올 수 있죠. 따라서 기존 임플란트와 그 앞에 남아있는 치아 뿌리를 제거하고 재수술을 진행하였습니다.

재수술 후 환자분께서는 같은 쪽 윗니 임플란트에서 또 통증이 느껴진다고 하시어,윗니도 뒤이어 치료해 드릴 예정으로 추가 수술 진행하게 되면 또 진료일지로 찾아뵙겠습니다. ^^