발치한지 오래된 어금니 임플란트 치료 사례

23-04-18 더365치과




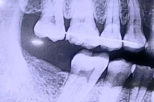
BEFORE
AFTER
연령/성별
치료 유형 어금니임플란트
치료 시작일
치료 완료일
주치의 멘트
6개월 정도 전에 발치한 오른쪽 아래 어금니에 임플란트를 하기 위해
저희 병원에 내원해 주셨던 환자분이십니다.
발치하신 자리의 잇몸뼈 상태는 아주 좋았기 때문에
임플란트 식립에도 문제가 없는 심플한 케이스였는데요.
발치했던 어금니와 맞닿는 위 어금니가 흔들거리고 있었습니다.
비어 있는 공간 탓에 중력의 힘을 받으며 이가 약해지고
아래로 점점 내려오고 있었기 때문인데요.
임플란트가 굳기를 기다리는 동안 윗니가 내려오게 될 가능성을 고려하여
윗니를 잡아 줄 와이어를 앞쪽 치아와 이어 붙여드렸습니다.
임플란트가 굳기까지 3개월을 기다린 뒤 보철을 완성해드렸고,
윗니도 더 내려오지 않아 문제 없이 치료를 마무리할 수 있었습니다.