약해진 잇몸뼈에 식립한 작은 어금니 임플란트 사례

23-04-25 더365치과




BEFORE
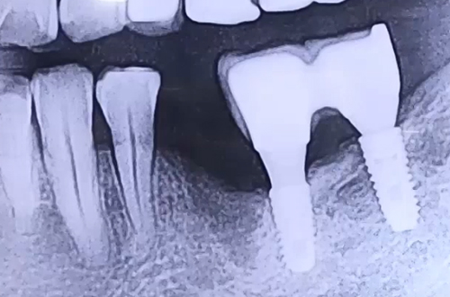
AFTER
연령/성별
치료 유형 어금니 뼈이식 임플란트
치료 시작일
치료 완료일
주치의 멘트

왼쪽 작은 어금니 발치 후 시간이 오래 지났고, 이전에 다른 치과에서 윗니, 앞니, 왼쪽 위아래 어금니 임플란트를 한 상태로 빈 어금니 부분에 추가 임플란트 치료를 받길 원하셔서 내원해 주신 환자분이십니다.

이를 빼고 오랜 시간이 지났기 때문에 그 자리의 잇몸이 약해져 있었고, 이전 치료 받은 아래 어금니 임플란트도 낮아진 잇몸을 보강하지 않은 듯 보였는데요.

약한 잇몸뼈에 맞춰 그대로 얇은 임플란트를 사용하면 어금니의 기능을 제대로 수행하기 어려우므로 뼈이식으로 잇몸의 폭과 높이를 충분히 회복시킨 뒤 튼튼한 임플란트를 식립해 치료해 드렸습니다.