치실, 치간칫솔 등을 사용하는 양치질의 중요성

23-07-11 더365치과




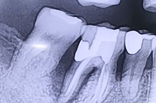
BEFORE
AFTER
연령/성별
치료 유형 발치 후 임플란트
치료 시작일
치료 완료일
주치의 멘트
어금니 부분의 통증과 불편함을 호소하며 내원하신 환자분이십니다.
해당 환자분의 경우 어금니 쪽에 음식물이 잘 끼는 편이라 하셨는데요.
그 부분을 살펴보니 잇몸이 안 좋아지면서 점점 높이가 내려가
어금니 사이의 틈새가 넓어지게 된 것이 원인으로 보였습니다.
문제가 된 어금니가 예전에 신경치료를 받은 곳이기 때문에
통증과 불편함에 대한 감각이 적어 대응이 늦었다고 보입니다.
특히 음식물이 잘 끼는 곳이 있다면 꼭 신경써서 양치를 해주어야 하는데요.
틈새에 낀 음식물은 칫솔만으로는 잘 닦이지 않기 때문에
치실, 치간칫솔과 같은 양치도구를 적극적으로 함께 사용할 것을 권장드립니다.