치아 통증으로 급하게 내원한 환자분 사례

23-09-13 더365치과




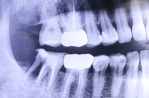
BEFORE
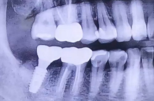
AFTER
연령/성별
치료 유형 발치 후 임플란트
치료 시작일
치료 완료일
주치의 멘트

치아에 엄청난 통증을 호소하며 급하게 내원해주신 환자분이십니다.

살펴보니 이미 오래 전에 치료가 다 되었다고 생각했던 충치 치료를 했던 치아가 크게 쪼개진 상태였는데요.

충치 치료는 치과의 대표적인 치료 중 하나이며 워낙 흔하기 때문에 그만큼 치료가 많이 이루어지고 있지만, 잘 치료해 주지 않으면 추후 이처럼 문제가 생기는 경우가 있습니다.

진료일지를 통해 알아보시길 바랍니다.